> 사회
호치민 빈단(Bình Dân)병원, 로봇으로 76mm 종양혈전 동반 대형 신장종양 완전 제거
2025년 12월 16일 13:38
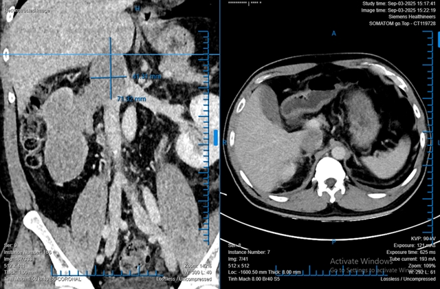
호치민시 빈단(Bình Dân)병원 의료진이 로봇만으로 신장 전체를 차지한 대형 종양과 하대정맥으로 76mm 뻗은 종양혈전을 성공적으로 제거했다.
호치민시 빈단(Bình Dân)병원에서 로봇 전용 수술로 신장 전체를 차지한 68×86×138mm 크기의 종양과 하대정맥으로 76mm 연장된 종양혈전을 완전히 제거했다.

환자는 꽝찌(Quảng Trị) 출신의 48세 남성 T.D.L.로 정기 검진 중 발견되었고 조처가 없었으면 수개월 내 생명이 위험할 수 있었다.

수술은 비뇨기, 간담도외과, 심혈관외과, 마취 등 4개 전문팀이 참여해 8시간 동안 진행됐으며 간을 동원해 후간부 하대정맥을 노출한 뒤 신장과 종양혈전을 로봇으로 제거했다.

팜푸팟(Phạm Phú Phát) 비뇨기과장은 로봇의 정밀성과 다학제 협력이 이번 전격적 완전 제거를 가능하게 했다고 밝혔고 수술 중 출혈은 600ml로 수혈 없이 진행돼 하대정맥을 보존했다.

환자는 수술 후 10일 만에 퇴원했으며 정기 추적관찰로 신장 기능과 재발·전이 여부를 모니터링할 예정이며 이번 성공은 베트남에서 고위험 신장암 치료의 중요한 진전으로 평가된다.
#로봇수술
#신장이암
#빈단병원
#다학제치료
#꽝찌


연관 뉴스

비한뉴스 : 한국 최초 AI로 자동 요약되는 베트남 뉴스
문의: [email protected]
Copyright ⓒ 2025 GOOD TREE All rights reserved.